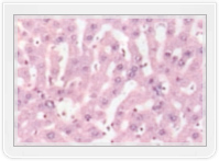
При мъжки бели плъхове е проведена експериментална хиперлипидемия с атерогенна диета (1.5% холестерол в слънчогледово масло).
Установява се на 31-я ден достоверно увеличаване на триглицеридите, холестерола и хистологически данни за натрупване на мазнини в черния дроб.
При животните, приемали пробиотик, се премахва ефектът на атерогенната диета, наблюдават се регенерационни ефекти по отношение на хепатоцитите и протекция от липидната дегенерация.
Изследването е извършено от колектив от Военномедицинска Академия – София и Медицински Университет – Варна.



Изследването е проведено върху бели женски плъхове, приемали ежедневно еднократно в продължение на 10 дни чист пробиотик, пробиотик с жен-шен и пробиотик с жълт кантарион. Като улцерогенен агент е използван 45% етилов спирт, въвеждан чрез сонда 1 час преди изследването. Извършено е морфометрично изследване на стомашните лезии, като резултатите са представени като язвен индекс (Я. И.) (мм2). Данните са представени в таблица №19.
| Опитни групи | Язвен индекс (мм2) | Опитни групи | Язвен индекс (мм2) |
Контрола |
Няма язви |
Етилов спирт 45% |
24,3 ± 8,5 |
Чист пробиотик |
Няма язви |
Чист пробиотик + Етилов спирт 45% |
3 точковидни |
Пробиотик с жен шен |
Няма язви |
Пробиотик с жен шен + Етилов спирт 45% |
Няма язви |
Пробиотик с жълт кантарион |
Няма язви |
Пробиотик с жълт кантарион + Етилов спирт 45% |
5 точковидни |
От нея е видно, че самостоятелното хронично третиране с пробиотик не предизвиква язвообразуване. Третирането с 45% етилов спирт довежда до силно изразено язвообразуване. Пробиотик самостоятелно или с жълт кантарион силно протектира стомашната лигавица срещу язвообразуването от действието на етиловия спирт. Най-силно изразен противоязвен ефект на стомашната лигавица има пробиотикът с жен-шен, профилактирал 100% стомашната лигавица срещу язвообразуване от 45% етилов спирт.
Хранителен режим с четири вида пробиотици, съдържащи различни щамове на Lactobacillus Bulgaricus, е приложен върху плъхове с диметилхидразинова (ДМХ) индуцирана туморогенеза в условията на 7-месечен експеримент. Получени са следните резултати:
Проучването потвърждава данните на И. Богданов, японски учени (А. Хосоно и др.) и други учени за антитуморен ефект на млечнокиселите пробиотици и специално на тези, съдържащи Lactobacillus Bulgaricus.
Широкото използване на източници на йонизираща радиация в техниката, медицината и ядрената енергетика увеличава вероятността за лъчево-индуцирани заболявания, включително и тези като раковите заболявания. Аварията в Чернобил доказва неприложимостта на концепцията за химическа лъчезащита при продължително облъчване с малки дози йонизираща радиация.
Способността на Lactobacillus Bulgaricus да повишава лъчерезистентността на организма е оценявана по показатели, характеризиращи степента на поражение и възстановяване на най-уязвимата система при лъчевъздействие – кръвотворната. Опитните животни са облъчени еднократно с 3 Gy на 137 Cs източник с мощност на експозицията 0,87 Gy/min. Млечнокиселите пробиотици са въвеждани в продължение на 15 дни през устата. Получените резултати показват, че млечнокиселите пробиотици, съдържащи определен щам на живи клетки на Lactobacillus Bulgaricus, оказват изразен лъчезащитен ефект върху костния мозък и създават условия за ускорено възстановяване на кръвотворенето на целия организъм.
Тератогенното проучване на скелетната и органна токсичност на пробиотиците е проведено върху бременни женски плъхове от порода Lister Hooded в периода на органогенезата. Бременните женски плъхове са третирани с 0,8 g/kg тегло с пробиотичнити млечни хранителни добавки и контролна група с дестилирана вода в периода на органотенезата. Получени са следните резултати: не се наблюдават признаци на токсичност у майките, теглото и размерът на фетусите, теглото на плацентите и черните дробове са в рамките на контролните показатели, не се наблюдават аномалии по отношение на скелета, изследванията за скелетна чупливост не показаха отклонения от контролните групи. При външното изследване не са наблюдавани тератогенни ефекти, при хистологичните изследвания не са наблюдавани увреждания в изследваните органи (бял дроб, черен дроб, далак, бъбреци).
© ПроЛакт Трейд ЕООД 2004-2026. Всички права запазени!
Официален разпространител за България на пробиотици ProLact